top of page

Apache neo Series
Real life patient image samples from real Healthcare Providers from around Malaysia 🇲🇾🇲🇾🇲🇾
Carotid Artery with Continuous Pulse Wave Sampling
Apache neo L154 probe scanned with iPad Air (4th generation). Portrait mode.

Continuous Pulse Wave Carotid Artery Sampling & Calculation
Apache neo L154 scanned with iPad Air (4th generation). Portrait mode.

Pulse Wave of Carotid Artery
Apache neo L154 scanned with iPad Air (4th generation). Portrait mode.

Cardiac Scan with M Mode
Apache neo P42 scanned with iPad Air (4th generation). Portrait mode.

Cardiac Ultrasound
Apache neo P42 scanned with iPad Air (4th generation). Portrait mode.

Cardiac Ultrasound
Apache neo P42 scanned with iPad Air (4th generation). Portrait mode.

Anterior Abdominal Scan of Bladder & Prostate
Apache neo C62 scanned with iPad Air (4th generation). Landscape mode.

Posterior Abdominal View of Left Kidney
Apache neo C62 scanned with iPad Air (4th generation). Landscape mode.

Anterior Scan of the Liver & Kidney
Apache neo L154 scanned with iPhone 14.

Anterior Scan of the Liver & Kidney
Apache neo L154 scanned with iPhone 14.

Auto Trace Pulse Wave Calculation & Analysis
Apache neo L154 scanned with iPhone 14.

Carotid Artery with Pulse Wave
Apache neo L154 scanned with iPhone 14.

Left Thyroid Scan with Signs of Thyroiditis
Apache neo L154 scanned with iPad Air (4th generation). Portrait mode.

Right Thyroid Scan with Signs of Thyroiditis
Apache neo L154 scanned with iPad Air (4th generation). Portrait mode.

Anterior Scan of Gallbladder
Apache neo C64 probe scanned with iPad Air (4th generation). Portrait mode.

Anterior Scan of Right Lobe of Liver
Apache neo C64 probe scanned with iPad Air (4th generation). Portrait mode.

Pulse Wave Scan of Liver Anterior
Apache neo C64 probe scanned with iPad Air (4th generation). Portrait mode.

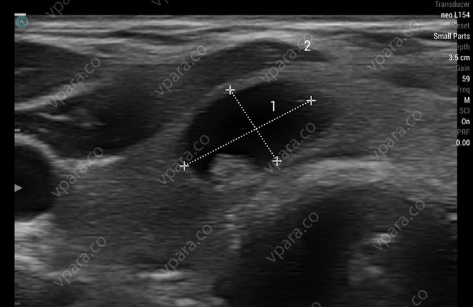
Thyroid Cyst
Apache neo L154 scanned with iPad Air (4th generation). Portrait mode.

Kidney
Apache neo C64 probe scanned with iPad Air (4th generation). Landscape mode.

Gallblader Stone
Apache neo C64 probe scanned with iPad Air (4th generation). Landscape mode.

Gallblader Stone
Apache neo C64 probe scanned with iPad Air (4th generation). Landscape mode.

bottom of page
